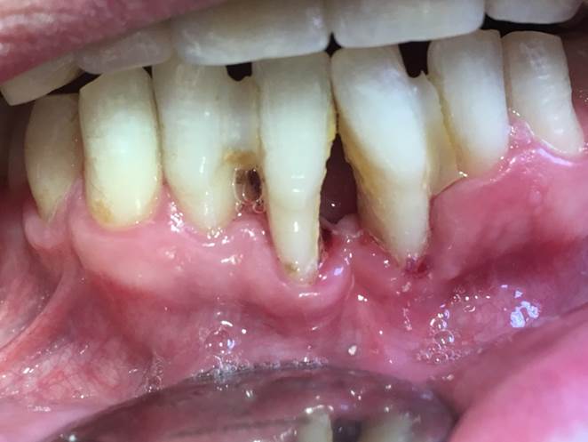
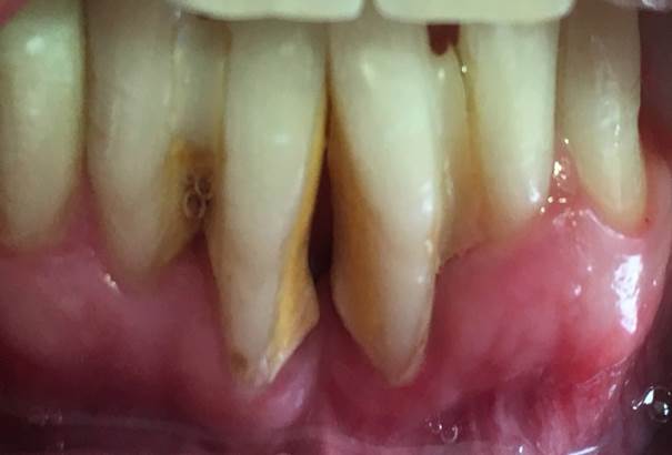
Odontología Especializada Aznar se especializa en: